补锌和补硒用什么方法(锌硒如何补)

导 读
锌是人体必需的微量元素之一,在人体生长发育过程中起着极其重要的作用,常被人们誉为“生命之花”和“智力之源”,但是,目前市场上的锌剂皆属于药物,是药三分毒,过量补锌会破坏免疫系统和内环境的稳态。近期,《Nature Medicine》发表的一篇文章更是指出锌过量可能是恶病质的罪魁祸首,可加速癌症死亡!
有研究表明,近三分之一癌症患者并非死于癌症本身,而是被恶病质折磨致死。恶病质是全身多脏器障碍所致的一种中毒状态,其显著特征是严重肌肉萎缩,约80%的晚期癌症患者深受其害。

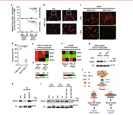
6月6日,哥伦比亚大学的Gang Wang等人的研究指出晚期癌症患者肌肉中锌超载和锌转运蛋白(Zip14)上调是转移性癌症诱发恶病质肌肉萎缩的重要驱动因素,而非肌肉萎缩的间接后果,揭示了ZIP14在促进肌肉萎缩和阻止转移性癌症肌肉再生方面的新作用。
该研究指出应重视癌症治疗过程常忽视的锌和Zip14水平的监测和控制,为改善转移性癌症患者的生存期和生活质量开辟新道路。该研究以《Metastatic cancers promote cachexia through ZIP14 upregulation in skeletal muscle》为题发表。

ZIP14在恶病质小鼠肌肉中表达上调
研究人员通过对晚期癌症恶病质小鼠的肌肉的研究,发现与正常小鼠肌肉相比,恶病质小鼠的ZIP14具有更大活性。正常情况下ZIP14可在肝细胞中表达以促进金属元素转运,而在恶病质患者中,其可在肌肉中异常表达。
通过对照试验,他们发现ZIP14表达上调与转移性癌症中的恶病质发展相关,而在未转移的原发癌症模型中未发现ZIP14表达上调,这说明ZIP14表达上调与癌症恶病质的特异性有关。

ZIP14上调在恶病质肌肉中表达上调并受TGF-β和TNF-α调节
研究人员进一步评估了ZIP14上调在人类恶性肿瘤中的临床相关性。晚期癌症和转移性疾病患者的肌肉切片的免疫组织化学分析结果显示患有恶病质的癌症患者的肌肉组织样本中含有高水平的ZIP14。
ZIP14与人群中恶病质之间有联系。对恶病质肌肉中的信号通路的分析显示细胞因子TGF-β和TNF-α可显著促进ZIP14表达上调,而TGF-β和TNF-α抑制剂的使用可有效降低恶病质的发生。

ZIP14接到的锌超载诱导癌症恶病质
另一方面,研究人员发现恶病质肌肉中普遍存在锌超载,同时伴随血清锌含量降低。也就是说,肌肉中ZIP14的过表达会增加肌肉细胞对锌的摄取,导致这些肌群严重萎缩,促进恶病质的发生发展。
研究人员指出ZIP14介导的锌积累可介导癌症患者肌肉细胞的肌球蛋白重链的缺失,从而负面影响肌肉细胞分化和肌肉纤维的功能,同时还与转移性癌症肌肉再生受损之间具有潜在联系。恶病质与癌症治疗耐受性降低、恶劣生活质量和死亡加速有关,锌超载和ZIP14表达上调可显著促进癌症死亡。

ZIP14接到的锌超载介导癌症患者肌肉细胞的肌球蛋白重链的缺失
锌是体内必须的微量元素,含量小,功效大,但也并非是多多益善。研究人员发现在没有肿瘤的情况下,适当补充锌对野生型Zip14和Zip14敲除小鼠的生长动力学没有不利影响,而一旦锌超载,就可导致野生型Zip14小鼠体重减轻和肌肉萎缩显着加速。
这种肌肉萎缩与恶病质肌肉萎缩极为相似。这就说明锌超载不仅会使癌症患者发生恶病质肌肉萎缩,对正常人的肌肉损伤也极大。过犹不及,不能盲目补充,这是我们必须谨记的原则。
过量补铁致癌
对儿童的影响
1、降低免疫功能:过剩的铁使机体对感染的抵抗力降低,许多非洲国家的儿童常规服用铁剂以预防当地患病率很高的缺铁性贫血;结果贫血预防了感染也触发了。用铁剂的儿童感染,特别是疟疾、布鲁氏杆菌病和结核病的发病率比未服用铁剂的儿童高出几倍。许多条件致病菌引起的感染也增多。铁过多降低白细胞吞噬杀伤能力,又为细菌提供营养,使之得以繁殖。
2、影响锌、铜吸收:过量的铁能影响锌、铜等一些对儿童发育十分重要的微量元素的吸收。由于这些元素均在十二指肠上部吸收,并通过同样的转运通道共享同一种转运蛋白,因此一种元素的大量吸收势必会影响其他元素的吸收,长期铁过量吸收会导致儿童缺锌、缺铜,从而影响其生长发育。
3、其他:最近国外一项研究表明在机体铁足够的情况下继续补充铁剂可直接妨碍婴儿生长。此外,铁过多可能还与儿童肝脏疾病、恶性肿瘤等发病有关。

铁是我们身体生长发育所不可缺少的,如果缺铁的话,可通过饮食或服用铁剂来进行补充,现在,可用的铁剂非常的多,但是如果服用过多的话,也容易出现补铁过量,人可能会出现急性铁中毒,会影响到心脏和肝脏,所以还需要注意把握好补铁的量。
慢性铁中毒也是补铁过量造成的,病人通常会出现肝脏损伤,会有纤维化,肝硬化,肝细胞瘤等,同时对动脉硬化也会产生一定的影响,让粥样斑块形成,对心肌造成伤害,增加心血管疾病的危险,而过量的铁还会对细胞晚上影响诱发细胞突变,造成一些癌症的发生。在补铁之前一定要做相关的检查,看身体是不是真正的缺铁到什么程度,然后遵从专业医生的要求,按照合理科学的剂量来用,避免出现补充过量的情况发生,避免对身体一些器官造成不良影响,甚至会引起死亡等。
硒过量的危害
人身体的微量元素正因为能维持人身体的健康,关键取决于微量元素的正常量,过多过少都会给身体造成不同程度的伤害,尤其是硒,一旦过量的补充,那么给身体就会造成很严重的伤害。
首先,如果身体过量的补充硒那么就会造成头发的严重脱落,身体的皮肤上会出现不同程度的皮疹现象。有的患者还会出现指甲突然的变厚,脸色也会特别的苍白。同时硒过量还可能造成肠胃功能的紊乱现象,比方说消化不良,不愿意吃饭以及造成一些口腔的异味如呼吸的时候会闻到口腔里面有大蒜的味道。
另外,身体如果非常过量的补充硒元素,那么就会出现硒中毒的现象,严重的患者甚至会出现呕吐,腹痛,并且会引起呼吸系统的紊乱现象造成患者的呼吸衰竭。硒过量还会造成肝脏的损害,有的患者还会表现出来肺部出现水肿的现象以及脑水肿,当然非常严重的患者就会造成死亡。
为什么一些外国组织
大力鼓动中国代理人
鼓吹并实施补碘、鋅、硒?
难道仅仅是为了赚钱?
真的是为中国人民好?
学者穆盛学早就揭穿
参考:
美国限制发展中国家人口增长的333计划
北京慕盛学
美国从1969年开始着手研究限制发展中国家人口的问题,经过40多年不断研究的补充和完善,到2010年基本形成了一套全面的、完整的、全天候的限制发展中国家人口问题的计划。这个计划本人归纳为“美国限制发展中国家人口增长的333计划”,全部计划如下图:
1、大三
大三,指美国控制发展中国家人口的三个大方面,这三大方面,涵盖了目前所有控制发展中国家人口的所有方面。
(1)强制计划生育
上述的三大项中,首先开始的是通过强制计划生育减少发展中国家人口。
公开口号:计划生育,控制全球人口增长过快
隐藏内容:针对全球人口过度膨胀,全球实行计划生育是正确的。美国恰恰利用这个明显的理由,推行强制限制发展中国家人口的计划,实际是推行种族灭绝政策,“隐瞒从发展中国家获得自然资源的真实意图,而说服发展中国家的领导人和民众相信:减少人口是符合他们自己的最大利益的”(《NSSM-200》)
实际目的:限制发展中国家人口,确保美国从发展中国家通畅无阻地获取自然资源。
(2)生物高科技抑制生育技术
近30年美国开始研究和在发展中国家推广生物高科技抑制生育技术,主要包括转基因避孕,疫苗避孕和过量补碘、鋅、硒三大营养素。
公开口号:推广高科技产品,预防疾病、减少营养缺乏症
隐藏内容:基因避孕,疫苗避孕和过量补碘、鋅、硒三大营养素这些项目的都可以到达抑制发展中国家人民生育能力的目的,其最大特点是隐蔽性,可以让发展中国家的人口在不知不觉中减少,不知不觉走向衰亡。
实际目的:限制、抑制、消灭发展中国家人口,确保美国国际霸主的地位
(3)战争
限制、抑制、消灭发展中国家人口,确保美国国际霸主的地位
2、中三
中三,指美国控制发展中国家人口中的《生物高科技抑制生育新技术》里的三个方面,这三个方面是:
(1)转基因避孕
通过在发展中国家推行含有精子抗体基因的转基因食品,达到限制、消灭发展中国家人口的目的。
公开口号:转基因食品是高科技产品,性能优良
隐藏内容:转基因食品里添加了精子抗体基因。
实际目的:
限制、抑制、消灭发展中国家人口,确保美国国际霸主的地位
(2)疫苗避孕
在为发展中国家提供的疫苗里添加了可以避孕的基因,使发展中国家的人口逐渐走向衰落、灭亡。
公开口号:关注发展中国家人民健康,免费提供疫苗
隐藏内容:疫苗里添加了可以达到避孕目的的基因。
实际目的:限制、抑制、消灭发展中国家人口,确保美国国际霸主的地位
(3)过量三大营养素抑制生育
公开口号:提高发展中国家人民的智力,消灭营养缺乏症
隐藏内容:过量碘酸钾补碘,可以达到损伤男性精子,过量补锌可以引起儿童早熟;过量补硒可以引发高血脂等等。
实际目的:限制、抑制、消灭发展中国家人口,确保美国国际霸主的地位
2、小三
小三是指《过量三大营养素抑制生育》项目中的三个内容。这三个内容的共同特点都通过过量“补”,过量补碘,过量补锌,过量补硒达到抑制生育或降低寿命的结果,从而控制和降低发展中国家的人口。
(1)过量碘酸钾补碘促男性不育
国内用碘酸钾强制全民补碘研究20年了,这项计划不是中国人民的需要,而是美国控制发展中国家人口总计划的一部分,是美国控制发展中国家人口的需要。
公开口号:碘是智力元素,全家补碘,全民健康
隐藏内容:过量碘酸钾补碘,促男性不育
实际目的:通过过量碘酸钾补碘,造成男性不育率增加,限制发展中国家人口。
(2)过量补鋅促儿童早熟
国内近10年来大量发布补鋅公告,大量生产补鋅产品,甚至提出要像补碘那样补鋅。然而目前已经发现的是过量补锌会导致儿童早熟,还会有什么不利后果待长期观察研究。
公开口号:鋅是智力元素,要像补碘那样补锌
隐藏内容:过量补鋅会导致儿童早熟
实际目的:降低平均寿命,减少发展中国家人口
(3)过量补硒促高血脂
国内近10年来大量发布补硒公告,大量生产补硒产品,甚至提出要像补碘那样补硒。然而目前已经发现的是过量补硒会导致血液中坏胆固醇增加,导致心脑血管病增加,还会有什么不利后果待长期观察研究。
公开口号:硒是智力元素,抗衰老
隐藏内容:过量补硒会导致高血脂,促心脑血管疾病发生,
实际目的:降低平均寿命,减少发展中国家人口
由上述事实可以看出,美国推行限制发展中国家人口战略的每一步,都有一个冠冕堂皇的、合情合理的理由,但在这个理由的背后却是不能公开的陷阱。美国正是利用这些公开的理由,用各种无偿援助,帮助发展中国家脱贫致富或预防疾病等通过软硬兼施的方法,让发展中国家不知不觉走上人口衰落之路。
上面简单介绍了美国控制发展中国家人口的全部计划,具体详细内容很多,证据很多,本人陆续发表。
北京 慕盛学
一袋营养盐能承载多少“营养”
营养盐的品种有7种:加钙、加锌、加硒、加铁、加维生素B2(核黄素)、低钠、钙锌硒三元复合强化营养盐。

中老年人多吃低钠盐、钙盐和硒盐孕产妇和儿童多吃锌盐、钙盐和硒盐青少年多吃铁盐、钙盐、锌盐和硒盐
核心提示:
一名普通消费者购买3袋食盐后,把食盐的生产商告上法庭。原告认为,营养盐包装袋上印刷有关锌和硒的科普知识,明示或暗示其有保健治疗作用。日前,郑州市二七区人民法院作出一审判决:驳回原告赵先生的诉讼请求。
案件已尘埃落定,案件之外的话题却引起人们的注意:盐,这种日常必需的调味品,还承载着强化营养的功能吗?营养盐究竟有哪些作用?各类人群应如何食用营养盐?
案件回放:
食盐生产商被诉欺诈
2006年11月30日,郑州市民赵先生在河南家世界超市有限公司郑州嵩山路分公司买了一袋碘盐、一袋加锌盐和一袋加硒盐。碘盐是普通食盐,为河南省盐业总公司(以下简称河南盐业)生产;而后两袋盐是营养盐,为河南省卫群多品种盐有限公司(以下简称卫群公司)生产。
赵先生发现,在碘盐的包装袋背面有保健食品的标志,而另两袋营养盐的包装袋背面则分别载有“锌有助于对生殖能力障碍的治疗”和“硒有提高免疫力、增强肝脏活性、加速排毒的作用”等文字表述。
让赵先生疑惑的是,碘盐不具备相关部门批准的保健功能,却标着保健食品标志;加锌盐和加硒盐仅为普通食品,却暗示具有保健治疗作用。赵先生认为这都属于虚假宣传,违反了相关法律法规。
在法庭上,河南盐业称食盐包装袋是广告载体,在包装袋上为黄金搭档和脑白金做广告宣传,这些是经过有关部门审批的,保健食品标志是黄金搭档的。卫群公司表示,在产品包装的背面印上对锌和硒功能的说明,只是作为科学知识向消费者普及,而非产品广告,并无夸大和虚假。
郑州市二七区人民法院审理认为,当事人对自己的主张有责任提供证据。河南盐业生产的加碘食盐及产品包装物,卫群公司生产的加锌、加硒强化营养盐及产品包装物均得到河南省盐业管理局的批准,且其产品包装物上载明的是脑白金的宣传广告和有关锌、硒的科普知识,其行为并未构成欺诈,因此原告的诉讼请求不予支持。
市场走访:
营养盐认知度不如碘盐
案件已尘埃落定,案件之外的话题却引起人们的关注:盐,这种日常必需的调味品,作为一种营养强化食品,它的作用究竟如何?普通人群和特殊的患者应该怎样食用营养盐?
2004年,强化营养盐开始走上我省百姓餐桌。据卫群公司经理李耀介绍,2004年省盐业管理局组建河南省卫群多品种盐有限公司,为全省18个省辖市供应营养盐,当年销量是1100吨,这一数字不断攀升。
市场对营养盐的接受程度如何?郑州市几家商场、超市的导购员介绍,营养盐与碘盐相比销售量少一些,主要是消费者对其认知度不够。
在经三路某超市,52岁的郑州市民张芸拿起一袋加钙盐仔细阅读说明后还是满脑子问题。她说,中老年人缺钙问题很常见,但市场上补钙产品很多,“加钙盐能真正起到补钙作用吗?”“我孙子和我一起吃饭,他不缺钙,还有必要吃这盐吗?”“除了加钙盐之外,还有加锌盐、加铁盐、核黄素盐,我应该怎样选择呢?”其实,张芸女士的问题代表了相当一部分消费者的疑虑。记者调查发现,消费者对于营养盐普遍存在的问题是:一、加入特定营养素的盐是否适合一般人群?二、消费者不知怎样选择适合自己的营养盐,对于高血压、糖尿病、肾病等特殊人群,如何食用也是个问题;三、作为一种营养强化食品,它能在多大程度上补充人体缺乏的营养素?
专家视点:
根据需要选购营养盐
营养盐究竟能承载多少“营养”?河南省人民医院营养室主任、河南省营养学会临床营养专业委员会主任委员陈永春说,目前在各种营养盐中,得到最多肯定、证据支持最多的就是低钠盐。它有助于控制高血压病情,对于心血管疾病的预防、治疗也是有利的。这是其他营养强化载体无法相比的。
陈永春说:“自从接触到低钠盐后,我们一家3口一直是500克一袋盐吃80天(中午都不回家,周末有时外出)。同时推荐亲戚朋友食用低钠盐,以此提倡低盐饮食(实际上是降低钠的摄入量)。
陈永春说,如果给营养盐定“身份”,它是食品,而不是保健品。因此只能宣传提供某种营养素,而不能宣传具有疗效或保健功能。
同时,营养盐是一类特殊的、能明确提供特定营养素的强化食品;也是具有特定成分、特定使用对象、特定使用方法的特殊食品,很类似于“医用食品”的定义。
就消费者对营养盐的诸多疑问,记者多方咨询营养专家,请他们一一解答。
咨询专家:
陈永春(河南省人民医院营养室主任、河南省营养学会临床营养专业委员会主任委员)任顺成(河南工业大学粮油食品学院博士、副教授)
韩萍(郑州大学公共卫生学院副教授、河南省营养学会常务理事)
1.加入特定营养素的盐是否适合所有人群?
陈永春:目前我省营养盐的品种有7种:加钙、加锌、加硒、加铁、加维生素B2(核黄素)、低钠、钙锌硒三元复合强化营养盐。加入特定营养素的盐并不适合所有人群。
按照我个人的理解,这7种营养盐可以分为两类:
A.主要成分变动:指低钠盐。它不同于普通的碘盐,通过减少钠的比例,有助于预防高血压等慢性病。生产成本最高。
B.主要成分不变:指其他6种营养强化盐。在普通碘盐的基础上,分别适量增加某些微量营养素,并不减少钠的比例,可有针对性地预防一些营养素缺乏病。生产成本比碘盐高,但低于低钠盐。
任顺成:营养盐,一般是指那些在普通食用盐中添加了营养强化素的食用盐,这些加入了特定营养素的盐对正常人群是适合的,因为,大部分人往往缺乏这些营养素。当然,如果体检发现自己并不缺乏这些营养素,还是建议食用普通碘盐或交替食用各种营养盐。
韩萍:多数人缺少的营养素并非一种,服用单一营养素补充剂后,仍然缺乏多种营养素。强化营养品应坚持营养素之间的合理配比,搭配得好,营养素之间可以相互协同,搭配得不好,则会相互拮抗。同时,应坚持从自然食物中全面补充营养素。依靠营养强化食品补充有必要,但只能起到辅助作用,其效果因人而异。
2.消费者怎样选择适合自己的营养盐?高血压、糖尿病、肾病等病人如何食用?
陈永春:食盐(包含各种营养盐、普通碘盐、无碘盐):心力衰竭、肾脏疾病、腹水、水肿、高血压及先兆子痫等禁用或在医生指导下慎用。A.无碘盐:专供国家认证的高碘地区,比例极低。B.普通碘盐:绝大多数地区和人群可以食用。C.低钠盐:适合高血压、心血管病患者及家庭,但也应适量;优于普通碘盐而推荐绝大多数地区和人群食用。除了一般食盐的禁忌证外,高钾患者(如循环衰竭、系统性红斑狼疮、酸中毒等)也应禁止。
D.其他6种营养强化盐:适合相应的营养素缺乏患者及家庭,但也应适量,针对性强。
任顺成:消费者要依据“缺什么补什么”的原则选购营养盐。一般来说,中老年人易患高血压、冠心病及骨质疏松症,应长期食用低钠盐,并适当吃些钙盐和硒盐;孕产妇和儿童普遍缺乏锌、钙和硒元素,应多吃锌盐、钙盐和硒盐,以提高免疫力;青少年由于处于快速生长发育阶段,缺铁性贫血、缺钙性生长缓慢较为常见,因此应多食铁盐、钙盐,间或搭配锌盐和硒盐。对于高血压、肾病患者最好选择低钠营养盐,以利于降低血压、消除浮肿;糖尿病患者应选择硒、锌强化营养盐,有助于胰岛功能的恢复及糖尿病症状的改善。
3.食用营养盐是否影响补碘?
陈永春、任顺成、韩萍:原则上不影响补碘,因各种营养盐(除专供国家认证的高碘地区的无碘盐外)都是在碘盐的基础上添加微量元素,这些微量元素与碘不反应,都处于人体易吸收的离子状态,使人能及时补充身体健康必需的微量元素。
4.以食盐为载体,加入多种人体必需的微量元素,在国外是什么情况?
陈永春、任顺成:西方发达国家营养盐食用率已占普通盐的近30%,我国发达地区也已占15%~20%,而我省去年刚达到1%。
与国外相比,我国在营养盐方面,起步比较晚。许多发达国家如美国、日本及西欧诸国,在食盐保健化、营养化上先走了一步。西方国家在开发利用多品种盐上进展很快,他们开发和利用了盐在营养、保健、美容护肤等多方面的用途。
5.以食盐为载体进行营养强化,这种载体的优、缺点是什么?
陈永春:微量营养素的强化载体,有面粉、酱油、面包、饮料、盐等。但盐与其他载体相比,优势是明显的:A.是人类必需的,不可替代的;B.绝对普及,不受种族、地域、性别、年龄等因素的影响;C.经济、廉价;D.便于运输、配送和销售;E.使用量相对固定(无论是个体还是群体),利于微量营养素的定量强化。
缺点是:只能用于强化稳定的固态微量营养素,多是矿物质,对光、热等敏感的营养素不适合。
任顺成、韩萍:食物作为营养强化载体,必须具备:①食物的消费覆盖率高、摄入量均衡;②强化后食物中营养素的损失、变化较少;③不因强化而改变食品的品质和口感。以食盐为载体强化营养素,除具备以上优点外,还具有食用方便、老少皆宜等优点。
6.世卫组织推荐的“6克标准”对营养盐是否适用?
陈永春:每人每日6克盐是指人体维持正常生命活动所需的食用量,即口入量,而我们平时做饭做菜添加的食盐量,因为剩菜剩饭,特别是菜汤中往往比菜中含盐量更高,但往往被丢弃,所以每人每日的消耗量,即做菜时的添加量,并不能代表实际食用量。另外在酱油、味精、肉制品中也含有不定量的钠或食盐。所以世界卫生组织推荐日食用标准6克是适宜的。摄入各种营养盐时,也应按世界卫生组织推荐的每天6克标准。(注:世界卫生组织最近推荐每人每天食用5克食盐,但多数国内专家仍赞同6克标准。)
7.碘盐也是一种营养强化食品,有人称之为“第一代营养盐”,哪些人不宜吃碘盐?
有关资料显示:甲亢患者、甲状腺炎患者等极少数人不宜食用碘盐。生活在高碘地区的居民,每天从高碘食物和高碘饮水中已经获得较高剂量的碘,有可能引起高碘性甲状腺肿大,因此,这部分人也不宜食用碘盐,这些人可带着门诊病历,到当地盐业主管部门购买无碘盐。(资料来自《消除碘缺乏病知识100题》,由卫生部全国地方病防治办公室编定)
请您参与
营养盐事关千家万户居民的健康,您的家庭是否食用过营养盐?您认为营养盐在补充微量元素方面是否有成效?在食用营养盐方面,您还有哪些疑惑?

