怎么补钠(钠补多了会出现什么症状)
什么是低钠血症?如何分类?
低钠血症是指各种原因导致血清钠低于正常范围,血钠水平<135mmol/L,伴或不伴有细胞外液容量改变的临床状况。
如何分类?
根据血渗透压与低钠血症之间关系,可将低钠血症分为低渗性低钠血症、等渗性低钠血症和高渗性低钠血症;根据细胞外液容量的状况又可以将低渗性低钠血症分为低容量性、等容量性和高容量性低钠血症。
1.按照化验室血钠水平分类:血钠130-135mmol/L为轻度低钠血症;血钠125-129mmol/L为中度低钠血症;血钠<125mmol/L为重度低钠血症。
临床表现:
?当血钠>125mmol/L时,患者多不会出现低钠血症的临床表现;
?血钠<125mmol/L时,会出现食欲不振、恶心、呕吐、乏力的表现;
?血钠<120mmol/L时,会出现凝视、共济失调、惊厥、木僵等表现;
?血钠<110mmol/L时患者会出现昏睡、抽搐、昏迷的症状。
2.根据电解质紊乱进展速度划分:低钠血症存在<48h为急性低钠血症;低钠血症存在≥48h为慢性低钠血症。
3.根据有无临床症状分类:轻度症状低钠血症、中度症状低钠血症、严重症状低钠血症。
?轻度症状低钠血症:出现注意力不集中、易怒、性格改变、抑郁。
?中度症状低钠血症:出现恶心不伴呕吐、意识模糊、头痛。
?严重症状低钠血症:出现呕吐、心脏呼吸窘迫、异常和深度嗜睡、癫痫、昏迷(Glasgow评分≤8分)。
判断患者的脱水状态可以帮助发现低钠血症的病因(见表1)。
表1 总体液量(TBW)、血钠(Na+)与细胞外液(ECF)的关系

低钠血症的治疗原则是?
低钠血症的治疗不可盲目,应根据病因、低钠血症的严重程度、发病速度快慢采取不同的处理方法。急性重症的低钠血症应紧急治疗,慢性轻症的低钠血症应慢性治疗。低钠血症的治疗强调个体化,但总的治疗措施包括:对症治疗、寻找病因、治疗原发病、祛除诱因、治疗并发症。
低钠血症的“补钠注意事项”有哪些?
(1)积极治疗原发病。
(2)补钠的速度不宜过快
?急性低钠血症,纠正速度在每小时血钠提升1-2mmol/L为宜,急性低钠血症纠正到130mmol/L即可。
?慢性低钠血症,纠正速度每小时血钠提升0.5mmol/L为宜,慢性低钠血症纠正到125mmol/L以上即可。血钠提升速度:24h内浓度升高8-10mmol/L为安全速度。
(3)渗透性脱髓鞘综合征通??梢酝ü拗凭勒湍蒲⒌乃俣壤幢苊猓醋畛?4h浓度提升<10-12mmol/L,在48h浓度提升<18mmol/L。但应注意此为纠正低钠血症的最大速度限度而非治疗目标。注意在纠正低钠血症的过程中谨防渗透性脱髓鞘综合征的发生。
(4)口服补钠纠正低钠最为安全,但速度相对较慢。
(5)注意同时补钾、补镁,维持酸碱平衡。
(6)补钠必须输液泵泵入。
(7)定时复查:在纠正低钠血症的过程中应每2-4h检测血钠,同时检测钾、氯、镁、钙,保持酸碱平衡。
(8)尿量突然增加>100ml/h,提示血钠有快速增加危险,如尿量突然增加,建议每2h监测血钠。
(9)血液动力学不稳定时,遇到低钠血症,快速液体复苏比快速纠正低钠血症更重要。
(10)如果患者同时有低钾血症,纠正低钾血症也可能使血钠增加。
(11)补钠补入途径建议中心静脉或PICC,避免外周补入引起的外渗。
(12)补钠过程中严密监测患者生命体征变化,特别是意识的改变,及时评估。
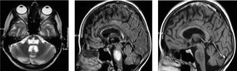
如何应对并发症——渗透性脱髓鞘综合征?
慢性低钠血症患者的治疗与渗透性脱髓鞘综合征(脑桥中央髓鞘溶解症)的发生相关。通常血清钠水平纠正后的2~6天会出现构音障碍、吞咽困难、惊厥、意识状态改变、四肢轻瘫及低血压等症状?;颊吆喜⒌图匮?、饮酒史、肝移植及女性患者更倾向于出现这种不可逆的状况。
治疗:支持、对症治疗为主。甘露醇、速尿、大剂量激素冲击治疗、高压氧、血浆置换治疗。

图1 渗透性脱髓鞘综合征脑部病变
参考文献:
[1] 王燕,顾锋.2007年低钠血症治疗指南[J].中国实用内科杂志,2010,30(09):793-796.
[2] 王燕,顾锋.2007年低钠血症治疗指南(续)[J].中国实用内科杂志,2010,30(10):897-900.
[3] 张劭夫.2014欧洲低钠血症诊疗临床实践指南解读[J].中国呼吸与危重监护杂志,2015,14(01):103-106.
[4] 老年患者低钠血症的诊治中国专家建议[J].中华老年医学杂志.2016,35(8):795-804.
[5] Shirley,Ooi等编,马青变,熊辉主译.急诊医学精要·中文翻译版(原书第2版)[M].科学出版社.

