一岁多宝宝补钙哪种好(宝宝补钙有助于长高吗)

微信又改版了,如果你是IOS用户,可以按照上图步骤,将我们设为星标,这样就更容易找到我们。下面是正文→
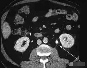
前几天看到一则新闻:《一岁多的宝宝,肾里堵满石头,竟是因为补钙》
因为宝宝出生后与其他同龄孩子比起来,头发太过稀少、发黄,家中老人说:“孩子头发这么不好,肯定是缺钙。”之后老人每次给宝宝喝水的时候,都会给宝宝喂补钙的口服液。
宝宝7.8个月的时候,头发开始变密、发黑,老人觉得是补钙起了作用,于是更是一天不落的给宝宝补钙。

宝宝19个月的时候,家长发现孩子总是尿裤子,直到有一天,家长觉得不对劲,立马带着孩子去了医院,到医院检查发现宝宝的左肾多发性结石,右肾还有积水,医生建议马上手术。
家长不知道为什么宝宝这么小,肾里就会有那么多的结石?医生说:“从孩子的发育状况来看,可能是因为孩子长期补钙造成的,使尿钙升高而形成结石?!?/p>

看完这个新闻真的很痛心,这么小的宝宝就白白挨上一刀,虽然最终是康复了,但身心也受到了很大的伤害。
那么问题来了
↓↓↓
平时到底该不该给孩子补钙?
怎么大致判断孩子缺不缺钙?
枕秃、睡不安稳、盗汗、出牙晚……
是不是因为缺钙?
补钙过量会对孩子有哪些危害?

绝大多数孩子都不缺钙
更不需要额外补钙
为什么说绝大多数宝宝都不缺钙?说到这儿,必须先来说说,不同月龄的孩子,每天需要多少钙:

一般200毫升的奶中
大约含有200毫克的钙
根据孩子每天的奶量对照上表
就可以大致判断出孩子缺不缺钙
无论是喝母乳还是配方奶的宝宝
只要每天奶量够
已经吃饭的孩子,吃饭好、营养均衡
钙的摄入量都是够的
都不缺钙,更不用额外补钙
6个月-3岁宝宝奶量建议
▼

而大家常说的“缺钙”
其实是“缺乏维生素D”
维生素D的主要作用就是通过促进钙、磷的吸收进而调节多种生理功能。如果宝宝体内没有足够的维生素D,即使大量补钙也是无效的,因为无法吸收。不同月龄的孩子一定要注意补维生素D:
吃母乳的宝宝
0-6个月——每天补维生素D,400国际单位;
7-12个月——每天补充维生素D,400国际单位;
1-3岁——每天补充维生素D,400国际单位,同时多吃富含钙的食物;
Tips:母乳喂养的妈妈,自己平时要注意补钙,多吃含钙丰富的食物
吃奶粉的宝宝
0-6个月——如果是吃正规厂家的婴幼儿配方奶粉一阶段,每天奶量800-1000毫升的话,钙和维生素D的量都基本可以满足孩子的成长需求了,都无需额外补。
7-12个月——如果是吃正规厂家的婴幼儿配方奶粉二阶段,每天奶量600-800毫升的话,钙含量是够宝宝成长需求了,但维生素D会略微欠缺一些,补充维生素D100国际单位即可。
1-3岁——如果是吃正规厂家的婴幼儿配方奶粉三阶段,每天奶量400-600毫升的话,需要多吃一些含钙丰富的食物,食补钙。另外再补充维生素D100国际单位。
归纳总结就是:
每天确保摄入400国际单位的维生素D
只要补好维生素D
基本上都不会缺钙的
完全没必要额外给孩子补充钙剂

钙补多了
反而缺钙、长不高、便秘、没食欲
文章前面说的,被补成肾结石的宝宝,并不是个例。节目中黄瑽宁医生讲过一个他亲手接诊的真实案例:
一位妈妈因为担心宝宝缺钙,就买了含钙量很高的保健品给宝宝喝,直到有一天因为宝宝抽搐被送到医院检查才发现,宝宝的血钙浓度非常低,十分危险。
妈妈不明白为什么一直在给宝宝补钙,还会这样?;骗B宁医生了解后发现,原来这款钙剂,在高钙的同时,也高磷。而宝宝身体中的钙磷比例应该是协调固定的,大量的磷补进去,就会抑制了钙的吸收,造成了宝宝的血钙非常低。
多数家长,还到不了给孩子补钙,补进医院的程度,但平时抱着“补了总不不补强”的心态,给宝宝瞎吃钙剂的家长也不在少数。补钙过量对孩子的伤害,真的很大!
? 孩子的骨骺加速钙化,影响宝宝最终身高;
? 影响其他一些必需元素的的吸收利用。如干扰锌、镁、磷等其他微量元素;
? 引起便秘。摄入过多的钙吸收不了,还会形成络合钙,造成孩子便秘;
? 补钙过多,反而缺钙;
? 发生奶碱综合征,伤害宝宝的肾脏;
?食欲下降。钙在分解过程中会产生热量,使孩子胃部有烧灼感,导致食欲下降……
所以,真的要提醒家长注意,一定别再给孩子瞎补钙了,要不要补钙,怎么补,都必须经过医生的检查和诊断才行!切记!

枕秃、睡不好、出牙晚……
到底是不是因为缺钙?
其实这些都和缺不缺钙
没有直接关系

宝宝出牙晚、发育慢,是因为缺钙吗?
不是!
这和孩子的个体差异相关
有的宝宝4个月就开始出牙了,有的宝宝要到12个月才开始出牙,这都没问题,都在正常范围内,并不是缺钙的宝宝就出牙晚,出牙早晚具有显著的个体差异,跟缺不缺钙无关!
还有的宝宝身高、体重长得慢一些,运动能力发展的也比同龄孩子晚一些,这也都和缺不缺钙无关,而是和孩子的先天发育、后天喂养、遗传、运动等多方面因素有关!钙表示,这个“锅”背不起呢~


宝宝睡觉哭闹、不踏实,是因为缺钙吗?
不是!
这和环境、心理、生理因素关系更大
小宝宝睡眠浅,宝宝睡得安不安稳,夜里是不是突然哭闹,和环境因素(是不是周遭太嘈杂、太亮等),心理因素(宝宝是不是怕黑、是不是睡前玩的太激烈等),生理原因(小宝宝睡觉哭闹,更多可能和小儿肠绞痛有关),和缺不缺钙没半毛钱关系!


宝宝头发稀少、枕秃,是因为缺钙吗?
不是
这多是宝宝阶段性的生理现象
正如文章开始新闻中的宝宝一样,不少孩子出生后头发都比较稀黄,甚至后来慢慢出现枕秃,不少老人都觉得这是缺钙,得补钙。
但其实,宝宝头发好不好,遗传倾向比较明显,宝宝出生后的发质发量都与爸爸妈妈的发质发量有关。而且,枕秃也只是一种阶段性的现象,和宝宝睡觉时枕部出汗多、头和枕头摩擦多导致脱落有关系。多数宝宝会在过了这个阶段就好了。


宝宝爱出汗、盗汗,是因为缺钙吗?
不是!
这和宝宝神经功能尚未发育完善相关
小宝宝的自主神经发育不健全,不能很好的调节神经的兴奋和抑制,尤其是宝宝刚入睡的时候,支配汗腺的交感神经出现兴奋状态,宝宝就容易出汗,一般后半夜孩子身上的汗就减少了。这叫做“生理性多汗”,是正常的生理现象,不是缺钙。
如果宝宝夜间出汗也别多,同时伴有身体的不适,才要警惕孩子是不是要生病,但也和缺钙没关系。

宝宝微量元素检测缺钙,总该是真缺钙了吧?
不一定
微量元素检测基本不准
微量元素检测多年来深受家长追捧,甚至一度成为宝宝体检的普查项目。但这项检查,早在2013年就被叫停了!
通过微量元素检测评价儿童体内营养素状况,这是一个误区。由于钙、锌、铁等元素的生理效应部位不在血液,所以检测微量元素根本没有意义。特别是检测头发更没任何科学道理。末梢血检测,不能保证取血时不被组织液稀释,所以连血液水平都不能代表。
即使是静脉取血获得的微量元素值,也只是血液水平,不代表相应组织内的含量。比如钙质主要沉着于骨骼,血钙水平不代表骨骼内钙质水平,如果是维生素D摄入不足,即使血钙水平足够,仍会出现佝偻病。

不爱喝奶的宝宝
多吃富含钙的食物更重要
有的妈妈可能会焦虑于“宝宝不爱喝奶,喝奶少,会不会缺钙?”、“孩子大了,不喝奶了,会不会缺钙?”
这样的宝宝,妈妈也不必太担心。
首先,在6个月以内,宝宝都是吃母乳或配方奶的,钙的摄入基本不缺。
6个月以后宝宝添加辅食,1岁后宝宝的餐食各种丰富多样,我们可以多给孩子吃一些富含钙的食物。
食物中含钙量排行榜
▼

第一名:芝麻酱
很多妈妈都不知道,其实芝麻酱是补充钙质非常好的食物,每100g的芝麻就含有1170mg的钙量!芝麻本身比较硬、不易消化,但做成芝麻酱就比较好消化了。不过宝妈们不要因为芝麻酱可以补钙,就给宝宝吃太多,因为它的热量也比较高,适当补充即可。
第二名:虾皮
虾皮的含钙量也很不错,每100g的虾皮大约含有997mg的钙量!但需要注意的是,一般虾皮的含盐量也很多,不适合1岁内的宝宝吃,妈妈最好给宝宝选择无盐虾皮。
第三名:芸豆、木耳、牛奶
芸豆和木耳等干货的含钙量虽然高,但泡发后无法大量食用,不能作为补钙的主要途径。相对来说牛奶更好一些。通常,人体晚上血钙离子的浓度是最低的,睡前喝牛奶补钙效果更好。
第四名(相对含钙量不高):油菜、金桔、牛肉、骨头汤
虽然蔬菜和水果的含钙量不高,但是富含膳食纤维,也是非常适合宝宝吃的食物。但,我们平常所说的喝骨头汤补钙,其实真不是!喝20大碗骨头汤补到的钙,才基本和喝200毫升的牛奶一样。
而且骨头汤中的营养成分还不如肉里的多呢,宝宝的内容量有限,喝了大量的汤,就吃不下别的食物了,反而容易营养不良。

虽然今天只说了给孩子补钙的事,但其他一些微量元素也一样,在没有经过医生确诊真的需要补之前,妈妈们千万别“想当然”的给孩子乱补。
各种微量元素在身体中都是有固定比例的,如果一种补多了,就会抑制其他一些元素的吸收,扰乱了宝宝自身的平衡,反而会出大问题。
想看往期精彩文章,戳下面标题:
你还没有加入拜托了妈妈官方微信群?
如果你有一堆的育婴问题急需讨论解决,来!我们有专业的育儿专家,热心的经验宝妈给你解答;如果你有丰富的育儿经验想要分享,来!我们有好多同龄妈妈和你一起叨叨;如果你有一堆婴儿用品需要购买,来!我们有专属特卖,外加福利奖品~总之,加入我们这个伐木累,你就赚了!
长按识别二维码
添加管理员
备注“宝宝出生年月”即可!

你还在忧心宝宝尿裤奶粉的品质问题?
双11囤货攻略Ready了吗?
或者想follow时下最热门的带娃旅行攻略……
这份亲子旅行剁手邀请函
就是为你准备的!一起出发吧!

点击“阅读原文”赢佳能微单、扫地机器人、乐高玩具、京东E卡等万元豪礼
