患了肺癌如何补硒(肺癌补硒)
肝囊肿不是肿瘤
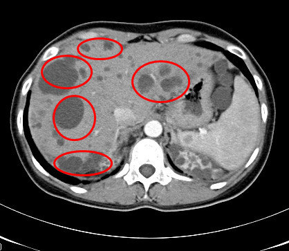
大约有10%左右的人都有肝囊肿,有些人一旦检查出肝囊肿,误认为这也是种瘤子,十分害怕,其实不对,肝囊肿不是肿瘤,是一种良性的囊性结构。 肝囊肿,通俗点说就是肝脏中的“水泡”。绝大多数的肝囊肿都是先天性的,即因先天发育的某些异常导致了肝囊肿形成。后天性的因素少有,如在牧区,如人们染上了包囊虫病,在肝脏中便会产生寄生虫性囊肿。外伤、炎症,甚至肿瘤也可以引起肝囊肿。囊肿可以是单发的,就只一个,小至0.2厘米;也可以多到十来个、几十个,甚至也可有一个是大至几十厘米的。多发性肝囊肿病人有时还合并其他内脏的囊肿,如伴发肾囊肿、肺囊肿及偶有胰囊肿、脾囊肿等。多囊肝的囊肿可满布肝脏,有些病人常以上腹肿块为首发症状,终末期出现腹水,门脉高压等肝功能不全的症候。肝囊肿一般是没有症状的。当囊肿长大到一定程度,可能会压迫胃肠道而引起症状,如上腹不适饱胀;也有因囊肿继发细菌感染而有腹痛、发热的。随着影象诊断学的发展及普及,尤其是B超已列为人群体格检查的常规之一,而B超对肝囊肿的检出率可达98%,所以发现本症的不少。在人们的心目中,囊肿是在肝脏上面长出来的一个肿瘤,尽管没有多大的症状,也很不放心,会不会变肝癌呢?肝囊肿常见的并发症是破裂出血、细菌感染、瘘及穿透,而罕见癌变。先天性肝囊肿是绝对不会癌变的。

肝囊肿是一种较常见的肝脏良性疾病,可分为寄生虫性、非寄生虫性和先天遗传性。

肝囊肿病因大多数系肝内小胆管发育障碍所致,单发性肝囊肿的发生是由于异位胆管造成。肝囊肿生长缓慢,所以可能长期或终生无症状,其临床表现也随囊肿位置、大小、数目以及有无压迫邻近器官和有无并发症而异。

囊肿既不会影响肝功能,也不会发展为肝癌,所以这种囊肿通常不必理它,只要定期复查即可。但如果它长得实在太大,让病人感觉不舒服时,可以进行治疗。治疗时也不必开刀,医生可以在超声波的引导下,将一根细细的针插入囊肿,用细针将囊肿内的液体抽出来,然后再注入纯酒精,这样囊肿才不会再次长大。如果囊肿长得很大,患者觉得很痛时,也可以考虑开刀治疗,将囊肿连同囊肿的膜一起摘除,来解决病人的疼痛。
肝囊肿与肿瘤是完全不同的两个概念。囊肿是液性占位,而肿瘤是实质性占位。一般说,在B超下,囊肿与肿瘤很易鉴别。应该警惕的是,肝囊肿与肝癌可合并存在,肝癌伴发肝囊肿并非罕见。因此,临床医生不要满足于肝囊肿的诊断?;褂κ笨瘫3侄愿伟┑木栊?,为此,发现有肝囊肿者,一不要忘记检测血AFP,因为60%-70%的原发性肝癌患者AFP升高。二是应到正规医院或找有经验医生行超声波检查,必要时可加作CT扫描检查。
继续阅读
- 暂无推荐
