狼疮肾炎可补硒吗(硒对红斑狼疮的作用)
狼疮性肾炎分型及其具体表现:上一节我们详细介绍了狼疮性肾炎的基本病变,那么今天我们将为大家呈现各型狼疮性肾炎的病变,首先还是要对狼疮性肾炎的分型有一个明确的概念,这样才方便大家在阅片时进行评估。
以下是 2004 年肾脏病理协会发布的的狼疮性肾炎分型的定义:
I 型:轻微病变性 LN,该型在光镜下肾小球无特殊改变,基本正常,而在免疫荧光和电子显微镜下,在肾小球的系膜区可见电子致密物沉积。
II 型:系膜增生性 LN,光镜下单纯的表现为系膜区不同程度的系膜细胞增生及基质增多,免疫荧光和电子显微镜下,在肾小球的系膜区可见电子致密物沉积,偶尔可在肾小球上皮细胞下或内皮细胞下可见孤立的电子致密物沉积。
III 型:局灶性 LN,即病变的肾小球<50% 所有的肾小球,病变多样,可以是活动的或不活动(慢性)的局灶节段性或球性的毛细血管内增生和/或毛细血管外增生;免疫荧光和电子显微镜下,在局灶性的肾小球内皮细胞下和/或系膜区可见电子致密物沉积;其中 III 型局灶性狼疮性肾炎又细分为以下 3 个亚型,即:
III(A):病变单纯以活动性病变表现,即局灶增生性 LN;
III(A/C):活动性和不活动(慢性)的病变同时存在,即局灶增生性和硬化性 LN;
III(C):病变均表现为:慢性不活动性的肾小球硬化,即局灶硬化性 LN。
IV 型:弥漫性 LN,即病变的肾小球>50% 所有的肾小球,病变多样,可以是活动的或不活动(慢性)的节段性或球性的毛细血管内增生和/或毛细血管外增生;免疫荧光和电子显微镜下,在弥漫性的肾小球内皮细胞下和/或系膜区可见电子致密物沉积;其中,当累及的肾小球病变>50% 为节段性时,归为弥漫节段性 IV-S;当累及的肾小球病变>50% 为球性时,归为弥漫球性 IV-G。该型细分为以下 3 型:
IV-S(A) 或 IV-G(A):即单纯的活动性病变,弥漫性节段性或球性增生性 LN;
IV-S(A/C) 或 IV-G(A/C):即活动性和慢性病变,弥漫性节段性或球性增生和硬化性 LN;
IV-S(C) 或 IV-G(C):即单纯的慢性病变,弥漫性节段性或球性硬化性 LN;
V 型:膜性 LN,即光镜下,球性或节段性的肾小球基底膜不规则增厚,免疫荧光和电子显微镜下肾小球上皮细胞下免疫复合物沉积,伴或不伴系膜病变。该型可细分为 3 型:
单纯 V 型:仅仅表现为球性肾小球基底膜不规则增厚(>50% 肾小球),免疫荧光和电子显微镜下肾小球上皮细胞下免疫复合物沉积,可伴有单纯的系膜增生;
III+V 或 V+III:除了 V 型的表现外,还可见到合并 III 型的多样性表现,如毛细血管内增生或毛细血管外增生(新月体形成)等,但病变仅仅为局灶性。
IV+V 或 V+IV:除了 V 型的表现外,还可见到 IV 型的多样性表现,如毛细血管内增生或毛细血管外增生(新月体形成)等,病变表现为弥漫性。
VI 型,硬化性 LN,即 ≥ 90% 的肾小球出现弥漫性硬化。
基本模式图

图 1 浅绿色:肾小球脏层上皮细胞(足细胞);深灰色:肾小球基底膜;浅灰色:系膜区基质成分;黄色:肾小球内皮细胞;红色:肾小球系膜细胞;深绿色:肾小球毛细血管腔内的多形核中性粒细胞;黑色:系膜区、内皮下、上皮下免疫复合物
I 型表现
1. 光镜表现:

图 2 PAS 染色:肾小球几乎正常,黑色箭头:系膜节段性轻度增生,如同平时我们常见的「轻微病变」
2. 免疫荧光:

图 3 红色箭头:IgG 在肾小球系膜区少量沉积
3. 电镜表现:

图 4 红色箭头:肾小球系膜区少量电子致密物沉积;黄色箭头:内皮细胞下、上皮细胞(足细胞)下未见电子致密物
II 型表现
1. 光镜表现:

图 5 HE 染色:红色箭头:肾小球系膜轻-中度增生
2. 免疫荧光:

图 6 红色箭头:IgG 在肾小球系膜区呈团块状沉积
3. 电镜表现:

图 7 红色箭头:肾小球系膜区少量电子致密物沉积;黄色箭头:内皮细胞下、上皮细胞(足细胞)下未见电子致密物
III 型表现
1. 光镜表现:

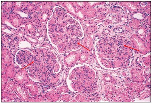
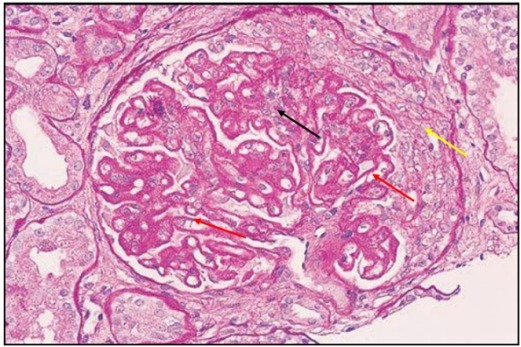
图 8 六胺银染色:红色箭头:肾小球节段和球性病变;黄色箭头:肾小球病变轻微

图 9 HE 染色:红色箭头:肾小球毛细血管内细胞增生、纤维素样坏死;黄色箭头:肾小球未见明显病变

图 10 PAS 染色:红色箭头:肾小球内纤维素样坏死;黄色箭头:小细胞性新月体形成;黑色箭头:肾小球未见明显病变
2. 免疫荧光:

图 11 红色箭头:IgG 在肾小球系膜区、内皮下团块状沉积;黄色箭头:肾小球其它区域未见 IgG 沉积

图 12 红色箭头:IgG 在肾小球内皮细胞下沉积;黑色箭头:IgG 在肾小球系膜区沉积
3. 电镜表现:

图 13 红色箭头:肾小球毛细血管腔内透明血栓样电子致密物;黄色箭头:肾小球内皮细胞下电子致密物。
IV 型表现
1. 光镜表现:

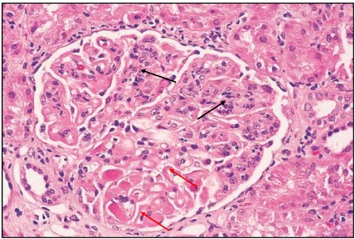
图 14 HE 染色 红色箭头:肾小球球性病变(>50% 肾小球毛细血管袢受累):毛细血管内细胞增生(系膜细胞、内皮细胞、多形核中性粒细胞等)

图 15 六胺银染色:红色箭头:肾小球节段性病变(<50% 肾小球毛细血管袢受累):纤维素样坏死、小新月体、细胞增生等

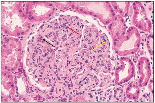
图 16 HE 染色:红色箭头:肾小球内皮细胞下免疫复合物沉积;黑色箭头:毛细血管内细胞增生

图 17 HE 染色:红色箭头:系膜细胞增生;黄色箭头:内皮细胞增生;黑色箭头:毛细血管腔内多形核粒细胞

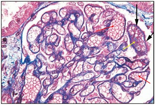
图 18 Masson 染色:红色箭头:内皮细胞下、毛细血管腔内免疫复合物沉积,非常多的白金耳形成

图 19 六胺银染色:红色箭头:双轨征形成;黄色箭头:系膜区中-重度增生;绿色箭头:内皮细胞下免疫复合物沉积
2. 免疫荧光:

图 20 红色箭头:IgG 沿肾小球毛细血管壁沉积;黄色箭头:IgG 沿肾小球系膜区沉积

图 21 红色箭头:IgG 在系膜区沉积;黄色箭头:IgG 在内皮细胞下和毛细血管壁沉积

图 22 红色箭头:IgG 沿肾小球毛细血管壁、内皮下沉积;黄色箭头:IgG 在肾小球系膜区沉积

图 23 红色箭头:Fibrin 在肾小球系膜区和毛细血管壁沉积;黄色箭头:Fibrin 在肾小囊内的新月体沉积
3. 电镜表现:

图 24 红色箭头:肾小球内皮细胞下大量电子致密物沉积;黄色箭头:肾小球系膜区电子致密物沉积

图 25 黄色箭头:肾小球内皮细胞下电子致密物沉积;红色箭头:肾小球系膜区电子致密物沉积

图 26 红色箭头:肾间质内电子致密物沉积。
V 型表现
1. 光镜表现:

图 27 HE 染色:单纯 V 型:红色箭头:肾小球基底膜明显增厚

图 28 PAS 染色:III+V 型:红色箭头:肾小球基底膜增厚;黑色箭头:毛细血管内细胞增生;黄色箭头:小细胞纤维性新月体形成

图 29 HE 染色:红色箭头:肾小球基底膜增厚;黑色箭头:毛细血管内细胞增生

图 30 PASM 染色:红色箭头:肾小球基底膜增厚;绿色箭头:毛细血管内细胞增生;黄色箭头:内皮下免疫复合物沉积

图 31 六胺银染色:红色箭头:肾小球基底膜上大量钉突形成

图 32 Masson 染色:黑色箭头:肾小球基底膜增厚;红色箭头:肾小球毛细血管腔内充血;黄色箭头:肾小球毛细血管腔内纤维素形成
2. 免疫荧光:

图 33 红色箭头:IgG 沿肾小球毛细血管壁呈颗粒沉积;黄色箭头:IgG 在肾小球系膜区沉积

图 34 红色箭头:IgG 沿肾小球毛细血管壁呈颗粒沉积;黄色箭头:IgG 在肾小球系膜区沉积
3. 电镜表现:

图 35 红色箭头:肾小球系膜区电子致密物沉积;黄色箭头:肾小球上皮细胞下电子致密物沉积
VI 型表现

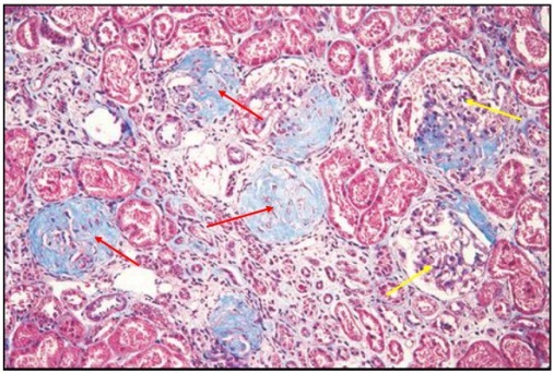
图 36 Masson 染色:红色箭头:肾小球呈球性硬化;黄色箭头:肾小球节段性正常
LN 类型的转变:

图 37 HE 染色:治疗前:肾小球呈球性毛细血管内细胞增生改变(IV 型)

图 38 六胺银染色:治疗 1 年后转为:肾小球呈节段性系膜增生(III 型)
