血钠低怎么补(低钠血症补钠补不上去)

病例汇报
患者,男,46岁。
因呕吐3天,失语5小时入院。
患者“感冒”后出现频繁呕吐,呕吐物为胃内容物,进行性加重。
入院当天早晨出现不能言语、神情淡漠、四肢无力等症状来诊。
行颅脑CT,颅脑MRI检查均未见明显异常。
入院时血钠105mmol/L。
初步诊断:低渗性脑病。
给予纠正电解质紊乱等对症处理,2天后血钠恢复正常( 132.8mmol/L),但患者病情无明显好转。
行腰椎穿刺,脑脊液检查结果提示颅内压轻度升高,脑脊液蛋白稍升高(50.6 mg/dL)。
6天后复查MRI:


图:双侧尾状核.壳核及额叶皮层见对称分布T2-flair(3a,3b)及 DWI(3c,3d)呈稍高信号。
最终诊断:渗透性脱髓鞘综合征。

何为渗透性脱髓鞘综合征?
渗透性脱髓鞘综合征(Osmotic demyelination syndrome,ODS)是一种中枢神经系统的急性非炎性脱髓鞘疾病。
ODS以神经髓鞘破坏为特征。
EPM可单独发生或与CPM同时发生,统称为ODS。

发病机制
Laureno(1983)在严重低钠(100~115mEq/L)和电解质紊乱的实验狗,快速输注3%高张生理盐水纠正低钠血症时可导致痉挛性四肢瘫及脑桥病变,病变分布及组织病理学特征与人类的CPM相似。
单独低钠血症或缓慢纠正低钠血症(在最初24小时纠正不引起CPM,认为CPM与脑内渗透压平衡失调有关,推测低钠血症脑组织处于低渗状态,快速补钠使血浆渗透压迅速升高,导致脑组织脱水、血-脑屏障破坏及脱髓鞘病变。
目前多认为发病机制与渗透性应激有关,当发生慢性低钠血症时,神经细胞排出胞内的Na+ 、K+等无机盐及谷氨酰胺、肌醇、牛磺酸等有机溶质,以平衡胞内外渗透压,
若在此时补充浓钠,快速纠正低钠血症,由于?;撬岬扔谢苤式岩匝杆倩氐桨?胞外渗透压反而升高,进而引起脑细胞急剧缺水,血脑屏障功能受损及损伤因子的释放﹐从而导致髓鞘破坏和少突胶质细胞损伤。

病变部位
由于少突胶质细胞多位于富含血管的灰质附近,因此病灶常累及灰白质混合处。
CPM:多发生在脑桥基底部。
EPM:常累及小脑、外侧膝状体、外囊、最外囊、海马、壳核、皮层、丘脑及尾状核。
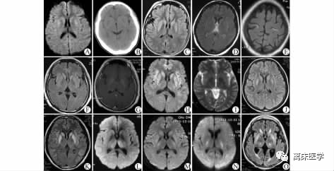
10例EPM患者的影像学表现

A和B分别为病例1的DWI 和CT图像;
C为病例2的T2 FLAIR;
D和E为病例3的T2 FLAIR ;
F~I分别为病例4的T2 FLAIR、增强扫描、 DWI 及ADC;
J、K、O分别为病例5、6、10的 T2 FLAIR;
L~N 分别为病例7~9 的 DWI。

临床表现
CPM 和EPM是同一种疾病,具有相同的病理改变,但由于受累部位不同而临床表现不同。
CPM典型临床表现:
包括假性球麻痹、四肢痉挛性瘫以及特殊的意识状态(重者为缄默状态、完全或不完全性闭锁综合征)。
EPM:多以精神症状、共济失调,肌张力障碍和帕金森样症状等运动障碍为表现形式。

如何诊断?
易患ODS的高危因素:
慢性乙醇中毒、严重全身性疾病和低钠血症纠正过快的患者突然出现四肢弛缓性瘫、假性延髓麻痹,数日内迅速进展为闭锁综合征,应高度怀疑CPM的可能。
ODS的诊断主要依据临床病史与影像学证据,影像学尤其是MRI表现在病变的诊断中具有重要价值,使早期诊断率显著提高,未出现病灶的患者应延期复查MRI。当脑桥病变很小时,临床可无症状体征。

低钠血症,警惕ODS,如何补钠?
ODS是一种少见的急性非炎性中枢脱髓鞘性疾病。
参考文章,点击阅读:
先看这个换算:

需钠量计算公式:

需要10%NaCl的量

补钠速度及治疗目标:
老年人实际治疗目标更应保守,即血钠升高速度
如果有ODS高危因素,任意24 h血钠纠正不超过5 mmol/L。
