儿童换牙需要补钙吗(补钙儿童换牙需要多久)
问题一:换牙时乳牙没有根吗?孩子掉下来的乳牙怎么都没有根?
生长发育成熟的乳牙和成人的恒牙一样,都应该有完整的牙根。只不过在正常牙齿替换过程,乳牙的牙根会一点点地被吸收掉,乳牙就从坚固到松动,直至最后脱落。
对一些孩子来说,这可能是一段比较长的过程,期间孩子会有不适感,甚至疼痛,都属于正常现象??梢怨睦⒆映砸恍┯驳氖澄?,把松动的乳牙自然地“硌掉”,有利于顺利替牙。

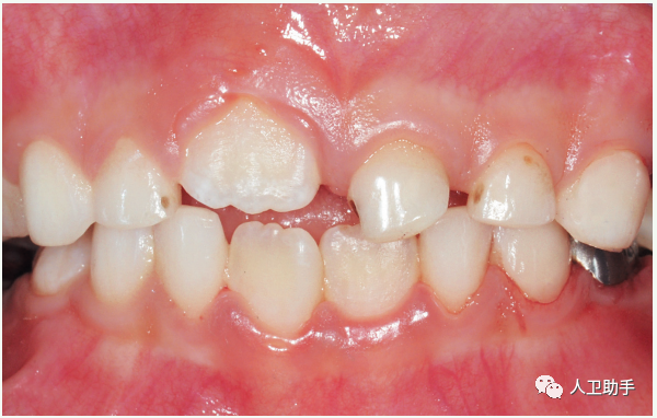
问题二:换牙时新出的前牙为什么呈锯齿状,正常吗?
是正常的。在牙齿发育过程中,牙齿是由多个发育叶慢慢融合,在前牙发育叶融合交汇的区域会出现锯齿状的发育结节,这是“人类标准的牙齿形态特征”之一,随着每日咀嚼,牙齿会逐渐磨耗,切端的“锯齿状的发育结节”最终磨平至消失。所以,成人后基本就看不到了。

问题三:新长出来的牙为什么那么黄?乳牙白白的多好看??!
孩子刚换的前牙颜色发黄,不像乳牙那么白白的,其实是正常现象,原因要从牙冠的结构开始说起。
牙冠硬组织分为两部分:内核的部分是淡黄色的牙本质,稍软些,内有微管样结构(牙本质小管)与牙髓(俗称“牙神经”)相通;表面部分是坚硬的釉质。
相对于乳牙而言,恒牙的釉质矿化比较好,晶体排列整齐有序,透光率高,所以从外面能透出内层牙本质的黄色。
所以,新长出的恒牙看着显得比乳牙黄,但应更有光泽。而乳牙的釉质矿化度相对较差,透光率也较差,牙本质的淡黄色被遮挡,所以就显得“白”一些。
问题四:孩子换牙时需要特殊补钙吗?
换牙是孩子生长发育中的一个生理过程,所以,如果孩子整体生长发育正常,不缺钙,单单为了换牙而补钙就没有必要了。
再说,孩子换牙大多数从6岁开始,这时候钙质在大多数恒牙牙冠上的沉积已经基本结束,6岁以后补的钙与牙齿发育关系不大。
问题五:孩子的门牙换了以后变得歪七扭八的,不如乳牙齐了,需要赶紧矫正吗?
因为大门牙(上颌中切牙)萌出的时候,牙根受到旁边侧切牙的挤压,牙根向近中倾斜,牙冠向远中倾斜,牙缝较大;侧切牙萌出的时候,同样会受到尖牙牙胚的挤压而歪斜不齐,待尖牙萌出后,这些间隙会自行消失,牙齿自动排齐。
刚萌出的“大门牙”比乳牙大得多,与儿童面型、相邻乳牙、牙弓不协调,被称为“丑小鸭”阶段,家长们无须着急,这多是暂时现象。要记得,长在口腔中的牙齿大小是不变的,随着孩子面部和全身整体发育,“大门牙”就会看着与孩子整体协调起来。
当然,如果两颗大门牙之间间隙过大,牙齿位置异常明显,需要带孩子到医院就诊,由医生检查判断,是否存在非生理性因素(如多生牙),并作出相应处理。
