肝病补硒案例( 非典型脂肪肝误诊案例 )
原创 华山感染
在临床工作中,我们常遇到一些披着常见病外衣的疑难病例。这些病例看似平凡,却总在治疗过程中露出破绽;表面符合典型特征,实则暗藏玄机。今天要分享的两个病例故事,在临床上就很容易被误诊或漏诊。脂肪肝作为普通人群肝功能异常的最常见原因,通常表现为肝细胞脂肪变性。然而,当临床上观察到严重的肝脏脂肪变性时,却不一定是单纯的脂肪肝——此时,我们需要高度警惕今天要讲的这种疾病。

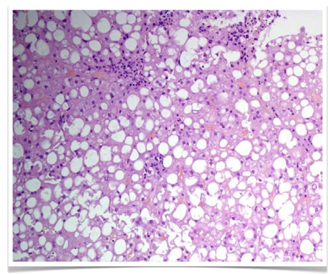
Wilson病的病理:肝细胞脂肪变性
病例一
第一个患者是一位美丽的新疆妈妈,40余岁,已经生育了3个健康聪明的孩子,生活一直过得幸福安逸,从没什么大灾大病。孩子们现在都上了大学,她正准备开始美好的退休生活,却在1年前没有特殊诱因下出现下肢浮肿。到医院检查,发现肝功能异常,谷丙转移酶41.6U/L,谷草转移酶91.5U/L,碱性磷酸酶89.8U/L,谷氨酰转移酶158U/L,ANA 1:100,IgG4 2.060g/L,CT提示脂肪肝、肝硬化伴肝内再生结节可能。当地医院怀疑脂肪肝、自身免疫性肝炎可能,保肝治疗后肝功能不见好转,后来我院肝穿刺活检,病理提示“慢性活动性肝硬化,CH-G3S4e,小叶内肝细胞中度脂肪变性(40%),大量气球样变散在 Mallory-Denk小体,小叶内散在凋亡与点灶状坏死,大量花环结构,汇管区显著界面肝炎,胆管尚可。结论:排除饮酒后符合MAFLD,CRN-NAS评分6分,EASL-SAF评分为S2A4F4,符合脂肪性肝炎相关肝硬化。IAIHGSS评分为病理5分,结合临床疑似非典型AIH,建议随诊综合评估?!被颊連MI 28.65,肝脏病理提示脂肪变,是脂肪肝?同时患者ANA阳性,IgG升高,病理见到小叶内点状坏死及大量花环结构,还要考虑自身免疫性肝炎?

界面性肝炎和肝细胞花环样改变
正当我们准备给她诊断中度脂肪肝、自身免疫性肝炎可能时,另一项检查结果让我们眼前一亮:铜蓝蛋白0.042g/L(正常范围值为0.15-0.31g/L),鉴于患者铜蓝蛋白极低,我们立马想到会不会是遗传性肝病“肝豆状核变性”,也称Wilson病。
我们进一步完善相关检查,发现患者虽未见K-F环,24小时尿铜258.7ug/24h,全外显子基因检测ATP7B基因纯合突变,计算莱比锡评分 8分,考虑肝豆状核变性,给予低铜饮食、青霉胺驱铜(小剂量、逐渐加量),同时葡萄糖酸锌口服减少铜吸收,1月后复查24小时尿铜明显增加,考虑驱铜有效,继续缓慢加量青霉胺加强驱铜,然而加量过程中,患者再次下肢浮肿,伴黄疸、腹胀,再次入院就诊,肝功能和凝血功能恶化,表现为严重的低蛋白血症(白蛋白25g/L),低脂血症,胆红素升高(103 μmol/L),凝血时间延长(INR 2.5),考虑患者不耐受驱铜治疗,予暂停驱铜并加强护肝等治疗,同时做了一次血浆置换,症状有所好转,但患者凝血功能改善不明显。评估患者肝硬化失代偿期,Child-Pugh评13分,MELD评分19,考虑内科治疗预后差,有肝移植指征。
患者和家属权衡后,在移植科进行肝移植排队,并于近期成功完成肝移植手术,肝功能逐渐恢复正常。对于Wilson病患者进展到终末期肝病者,肝移植是最佳的方案,预后良好。
病例二
第二位患者,陈某,上海人,29岁,是一名年轻的都市白领。10多岁学校体检就发现肝功能异常,家长带到医院检查,不是病毒性肝炎,不是自身免疫性肝炎,没有可疑用药史,当然也没有饮酒史,检查B超考虑脂肪肝。医生给他开了一些护肝药,并反复叮嘱减肥,人瘦下去、肝脏瘦下去才会好。为此他努力节食、努力锻炼,可是肝功能检查异常仍然反反复复,无能为力,望“单”兴叹,无可奈何,在过去的10年内,他一直笼罩在自我怀疑的阴霾中。
他最近又辗转打听到,现在医院有针对脂肪肝的专病门诊,一个个“小胖肝”减肥成功的案例,让他又萌生了努力一把的念头,他再次来到医院就诊。对于如此反复的肝功能异常,接诊医生非常谨慎,再次予以肝病病因的筛查,结果检查显示铜蓝蛋白
何为肝豆状核变性?
在1912年,Kinnier Wilson最早系统描述了一组肝脏病变伴锥体外系症状为核心特征的病例,正是今天的主角:肝豆状核变性,也称为Wilson?。╓ilson disease,WD),后来进一步的研究发现Wilson病是因铜转运ATP酶β(ATPase copper transporting beta,ATP7B)基因突变而导致的铜代谢障碍性疾病,是一种常染色体隐性遗传性疾病。ATP7B基因编码一种铜转运P型ATP酶(ATP7B蛋白),参与铜的跨膜转运,当基因突变时,铜在肝脏过度沉积,导致肝细胞损伤,加速肝纤维化。当铜超过了肝脏储存容量,就会以游离铜的形式进入血液,并在脑部、肾脏、角膜、关节以及肠道等部位过量沉积,产生肝脏外的铜毒性,引起相应的临床表现。
据统计,该病的全球发病率约为1/30000,人群中ATP7B致病基因携带者比例为1/90。虽然全球发病率相对较低,但在中国人群中,威尔逊病的发病率被认为较高,是一种人群发病率偏高的罕见病。其发病年龄通常在5岁到35岁之间,但也有部分患者在40岁之后才出现症状。
就像谍战剧中最狡猾的敌人,Wilson病善于伪装、大隐于市,默默地进行地下破坏活动。它的伪装身份有很多,最常用的伪装身份就是“脂肪肝”,由于铜在肝脏过量沉积,引起肝细胞线粒体氧化应激反应并对脂质、蛋白质、DNA和RNA等分子造成损伤,导致肝细胞损伤、肝脏脂肪变性,所以常常即使做了肝穿,得到的病理描述却是脂肪肝。

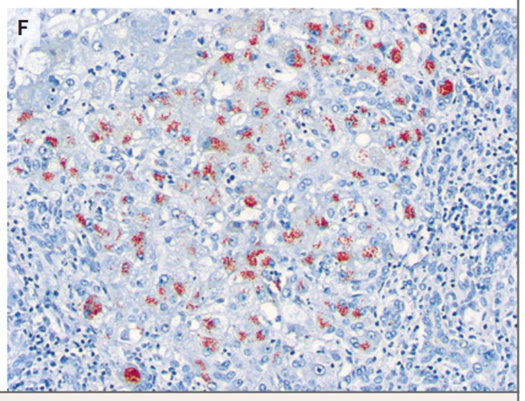
肝细胞罗丹明(铜染色)阳性
它还有很多伪装身份,比如“自身免疫性肝炎”,Wilson病常可出现低滴度的自身抗体阳性和免疫球蛋白升高,因此也容易误诊为“自身免疫性肝炎”。
青少年人群中,有些Wilson病会伪装成“青春叛逆期”,表现为情绪波动、情感障碍、人格改变、焦虑障碍等;在老年人群中,会伪装成“帕金森病”“偏执型人格障碍”等;在肝病基础的病人,Wilson病相关的姿势性震颤有时类似于肝性脑病的“扑翼样震颤”,让人忽略了合并神经病变的可能。
除此之外,血清游离铜还会损伤红细胞膜而发生Coombs阴性的溶血性贫血;肾脏损伤,表现为镜下血尿和肾结石;损伤骨关节,表现为骨质疏松症、骨软化症、自发性骨折、佝偻病、剥脱性骨软骨炎、髌骨软骨软化症、过早骨质减少,以及膝盖和手腕的退行性关节炎等;引起内分泌异常,出现女性闭经、流产,男性乳房发育、睾丸萎缩、甲状旁腺功能减退、胰腺炎等;更有甚者,还会引起心肌炎、心律失常等心脏损伤。
经典的肝豆状核变性有三大特征——角膜色素沉着(K-F环)、神经精神疾病和肝硬化,但能集齐上述表现的患者并不多,比如K-F环,没有神经受累的患者K-F环发现率仅50%左右,如果眼科医师经验不足,这个值可能更低。
A :正常人未见K-F环,即角膜色素环;B-C :角膜周围部分铜沉积; D:完整的K-F环
大家一度以为,只有纯合的ATP7B基因突变才会发病,但正如第二个患者陈某,他是杂合突变,依然能出现铜蓝蛋白下降、尿铜升高、反复肝功能异常甚至肝硬化的表现,当然杂合突变往往起病更晚,表现也更为不典型,也因此更易漏诊。
虽然Wilson病善于伪装,“幻化之术”真假难辨,但凡是发生必留痕迹,魔高一尺道高一丈,医生们也有诊断的办法。2001年,第八届国际Wilson病会议制定了莱比锡评分(Leipzig评分系统),该评分系统基于多中心研究数据,全面系统地纳入了Wilson病的临床表现、生化检验和遗传分子学检测结果,内容包括K-F环的有无、神经系统症状的有无或严重程度、血清铜蓝蛋白水平、Coombs实验阴性的溶血性贫血有无、肝铜定量及肝组织罗丹宁染色结果、24h尿铜水平、ATP7B基因检测结果,每项按照有无或程度不同设1-4分不等;每项内容的分数相加,当Leipzig总分≥4分时,即可诊断为Wilson病。
总 结
Wilson病是可用药物治疗的遗传代谢性疾病,其长期预后取决于治疗的早晚。治疗越早,损害越轻,预后越好。若没有及时诊断,肝脏长期反复损害,即使启动了驱铜治疗,也难以逆转肝脏组织结构的异常。而早诊断是早治疗的关键,当身体出现上述“伪装者”病症,特别是多种病症同时出现时,我们千万不要忘了“谍战高手”Wilson病的可能。
病例来自华山医院感染科肝炎组
撰写:潘安娜 瑞安市人民医院(进修医生)
继续阅读
- 暂无推荐
